Skip to content

Call Now: (731) 925-5600

Joe M. Cromwell, DDS
Dental Services In Savannah, Tennessee
Joe M. Cromwell, DDSJoe M. Cromwell, DDS
  • Home
  • About Us
    • Meet Dr. Cromwell
    • Meet The Team
    • Office Tour
  • New Patients
    • Before And After
    • Dental FAQs
    • Financial Information
    • Patient Forms
    • Your First Visit
  • Dental Services
    • Cosmetic Dentistry
      • Dental Bonding
      • JuvĆ©derm Facial Fillers
      • Lumineers
      • Smile Makeovers
      • Teeth Whitening Trays
      • Teeth Whitening with Opalescence Go
      • Veneers
      • Wrinkles
    • Endodontic Treatment
      • Apicoectomy
      • Cracked Teeth
      • Internal Bleaching
      • Post & Core
      • Pulp Regeneration
      • Root Canal Therapy
      • Root Canal Retreatment
      • Root Resorption
      • Traumatic Injuries
      • Vital Pulp Therapy / Pulpotomy
    • General Dentistry
      • Air Abrasion Dentistry
      • Dental Bridge
      • Dental Cleanings
      • Dental Crowns
      • Dental Crowns With CEREC
      • Dental Sealants
      • Digital Impressions
      • Enamel Shaping
      • Fillings
      • Fluoride Treatments
      • Lingual Frenectomy
      • Mercury Safe And Mercury Free
      • Neuromuscular Dentistry For TMD Relief
      • Occlusal Disease Treatment
      • Sedation Dentistry
      • Snoring
      • Tooth-Colored Fillings
      • Tooth Perforation Repair
    • Oral Surgery
      • Facial Infections
      • Facial Injury Repair
      • Tooth Extractions
      • Wisdom Teeth Removal
    • Orthodontic Treatment
      • ClearCorrect Aligners
      • Emergency Care
      • Opal Seal
      • Orthodontic Mouthguards
      • Powerprox 6 Month Braces
      • Retention
      • Six Month SmilesĀ®
    • Pediatric Dentistry
      • BPA-Free Tooth-Colored Fillings
      • Interceptive Orthodontics
      • Nitrous Oxide For Children
      • Pit And Fissure Sealant
      • Space Maintainer
    • Periodontal Care
      • Arestin
      • CloSYS Mouthwash
      • Gingivectomy
      • Gum Contouring & Reshaping
      • Laser Therapy
      • Periodontal Cleaning
      • Periodontal Splint
      • Scaling And Root Planing
    • Preventative Dentistry
      • AirFloss By Philips Sonicare
      • BreathRX
      • Custom Mouthguard
      • Occlusal Night Guards
      • Oral B Toothbrush
      • Oral Cancer Detection Using Trimira Identafi
      • Oral Cancer Screenings
      • Rotadent
      • Silver Diamine Fluoride
      • Sonicare Toothbrush
      • Waterpik
    • Prosthodontics
      • Dental Implants
      • Flippers And Removable Partial Dentures
      • Full and Partial Dentures
      • Implant Restoration
      • Implant-Retained Dentures
      • Implant-Retained Partials
    • Technology
      • Air Abrasion Dentistry
      • Diagnodent Pen
      • Digital X-Rays
      • Intraoral Camera Technology
      • Laser Therapy
      • Oral Cancer Detection Using Trimira Identafi
      • Teeth Whitening Trays
      • Teeth Whitening With Opalescence Go
      • Ultrasonics
  • Reviews
  • Blog
  • Contact
    • Request an Appointment
FacebookInstagram
  • Home
  • About Us
    • Meet Dr. Cromwell
    • Meet The Team
    • Office Tour
  • New Patients
    • Before And After
    • Dental FAQs
    • Financial Information
    • Patient Forms
    • Your First Visit
  • Dental Services
    • Cosmetic Dentistry
      • Dental Bonding
      • JuvĆ©derm Facial Fillers
      • Lumineers
      • Smile Makeovers
      • Teeth Whitening Trays
      • Teeth Whitening with Opalescence Go
      • Veneers
      • Wrinkles
    • Endodontic Treatment
      • Apicoectomy
      • Cracked Teeth
      • Internal Bleaching
      • Post & Core
      • Pulp Regeneration
      • Root Canal Therapy
      • Root Canal Retreatment
      • Root Resorption
      • Traumatic Injuries
      • Vital Pulp Therapy / Pulpotomy
    • General Dentistry
      • Air Abrasion Dentistry
      • Dental Bridge
      • Dental Cleanings
      • Dental Crowns
      • Dental Crowns With CEREC
      • Dental Sealants
      • Digital Impressions
      • Enamel Shaping
      • Fillings
      • Fluoride Treatments
      • Lingual Frenectomy
      • Mercury Safe And Mercury Free
      • Neuromuscular Dentistry For TMD Relief
      • Occlusal Disease Treatment
      • Sedation Dentistry
      • Snoring
      • Tooth-Colored Fillings
      • Tooth Perforation Repair
    • Oral Surgery
      • Facial Infections
      • Facial Injury Repair
      • Tooth Extractions
      • Wisdom Teeth Removal
    • Orthodontic Treatment
      • ClearCorrect Aligners
      • Emergency Care
      • Opal Seal
      • Orthodontic Mouthguards
      • Powerprox 6 Month Braces
      • Retention
      • Six Month SmilesĀ®
    • Pediatric Dentistry
      • BPA-Free Tooth-Colored Fillings
      • Interceptive Orthodontics
      • Nitrous Oxide For Children
      • Pit And Fissure Sealant
      • Space Maintainer
    • Periodontal Care
      • Arestin
      • CloSYS Mouthwash
      • Gingivectomy
      • Gum Contouring & Reshaping
      • Laser Therapy
      • Periodontal Cleaning
      • Periodontal Splint
      • Scaling And Root Planing
    • Preventative Dentistry
      • AirFloss By Philips Sonicare
      • BreathRX
      • Custom Mouthguard
      • Occlusal Night Guards
      • Oral B Toothbrush
      • Oral Cancer Detection Using Trimira Identafi
      • Oral Cancer Screenings
      • Rotadent
      • Silver Diamine Fluoride
      • Sonicare Toothbrush
      • Waterpik
    • Prosthodontics
      • Dental Implants
      • Flippers And Removable Partial Dentures
      • Full and Partial Dentures
      • Implant Restoration
      • Implant-Retained Dentures
      • Implant-Retained Partials
    • Technology
      • Air Abrasion Dentistry
      • Diagnodent Pen
      • Digital X-Rays
      • Intraoral Camera Technology
      • Laser Therapy
      • Oral Cancer Detection Using Trimira Identafi
      • Teeth Whitening Trays
      • Teeth Whitening With Opalescence Go
      • Ultrasonics
  • Reviews
  • Blog
  • Contact
    • Request an Appointment

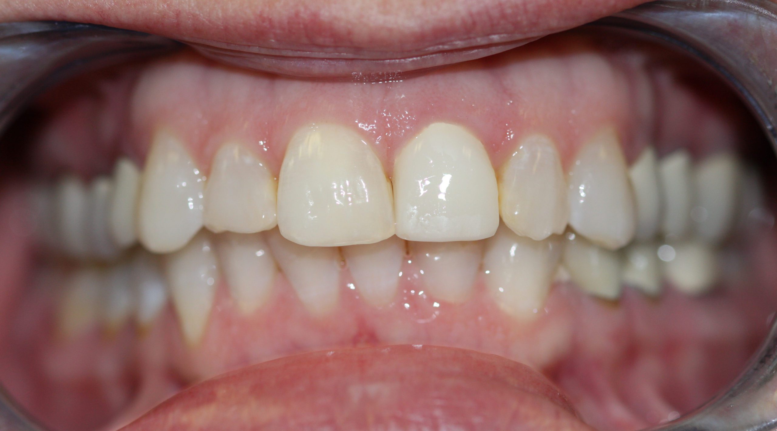
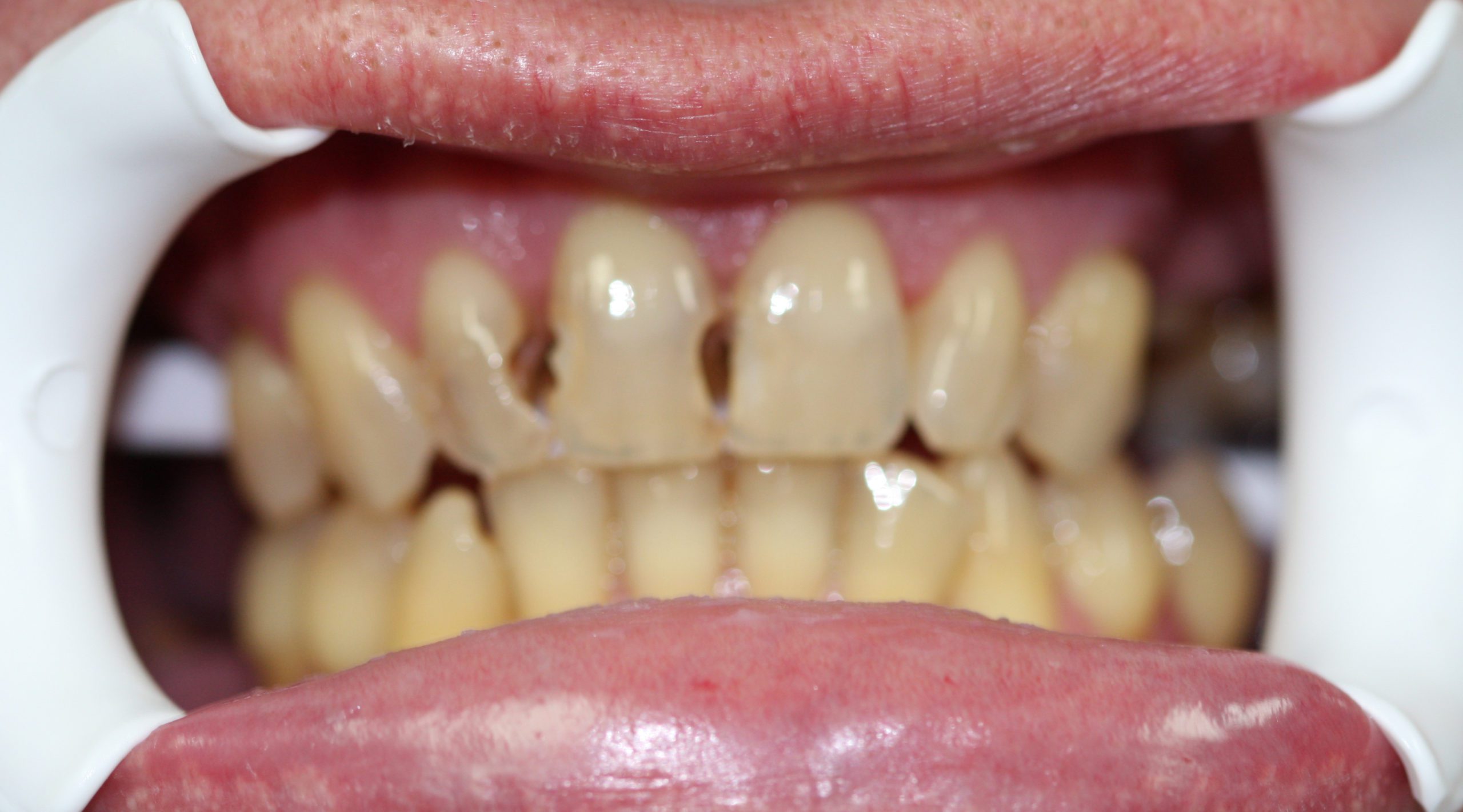
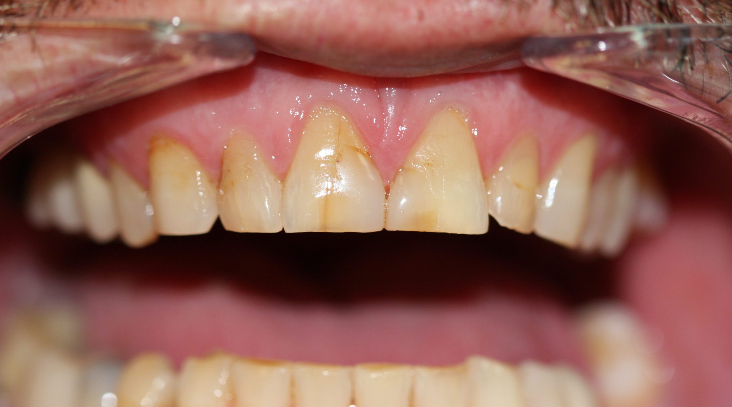
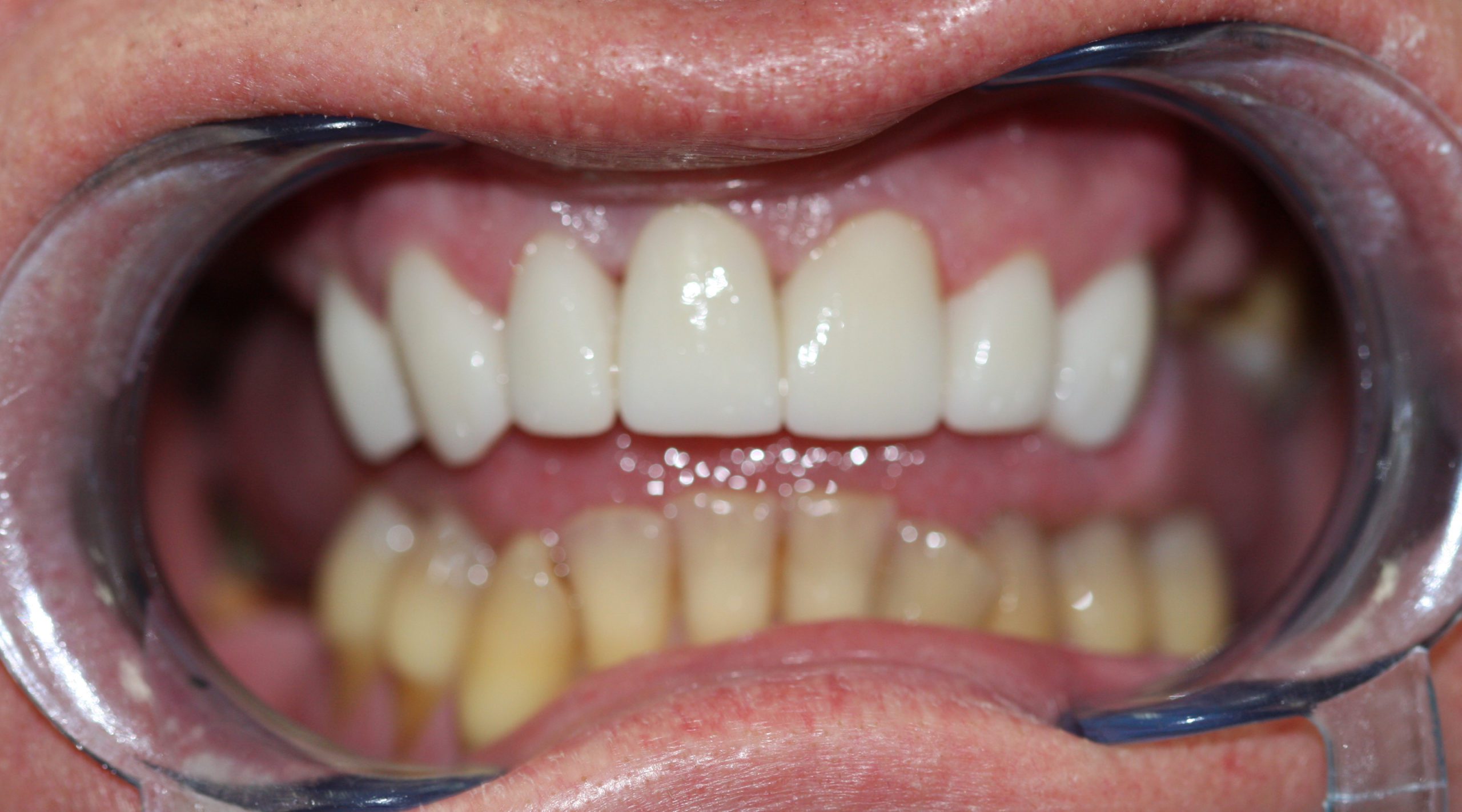
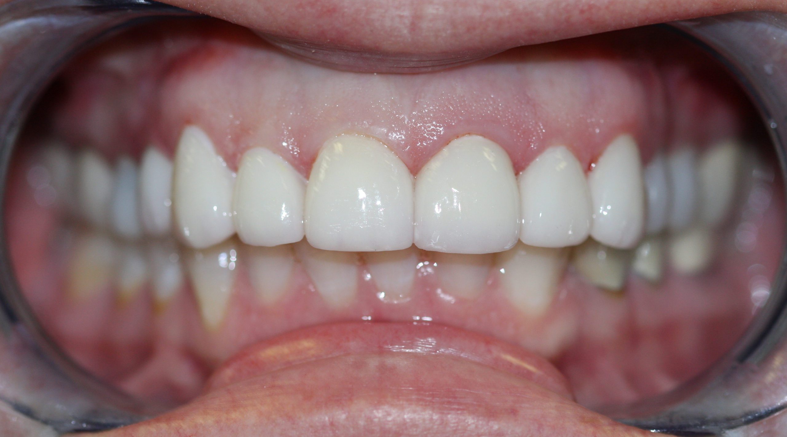
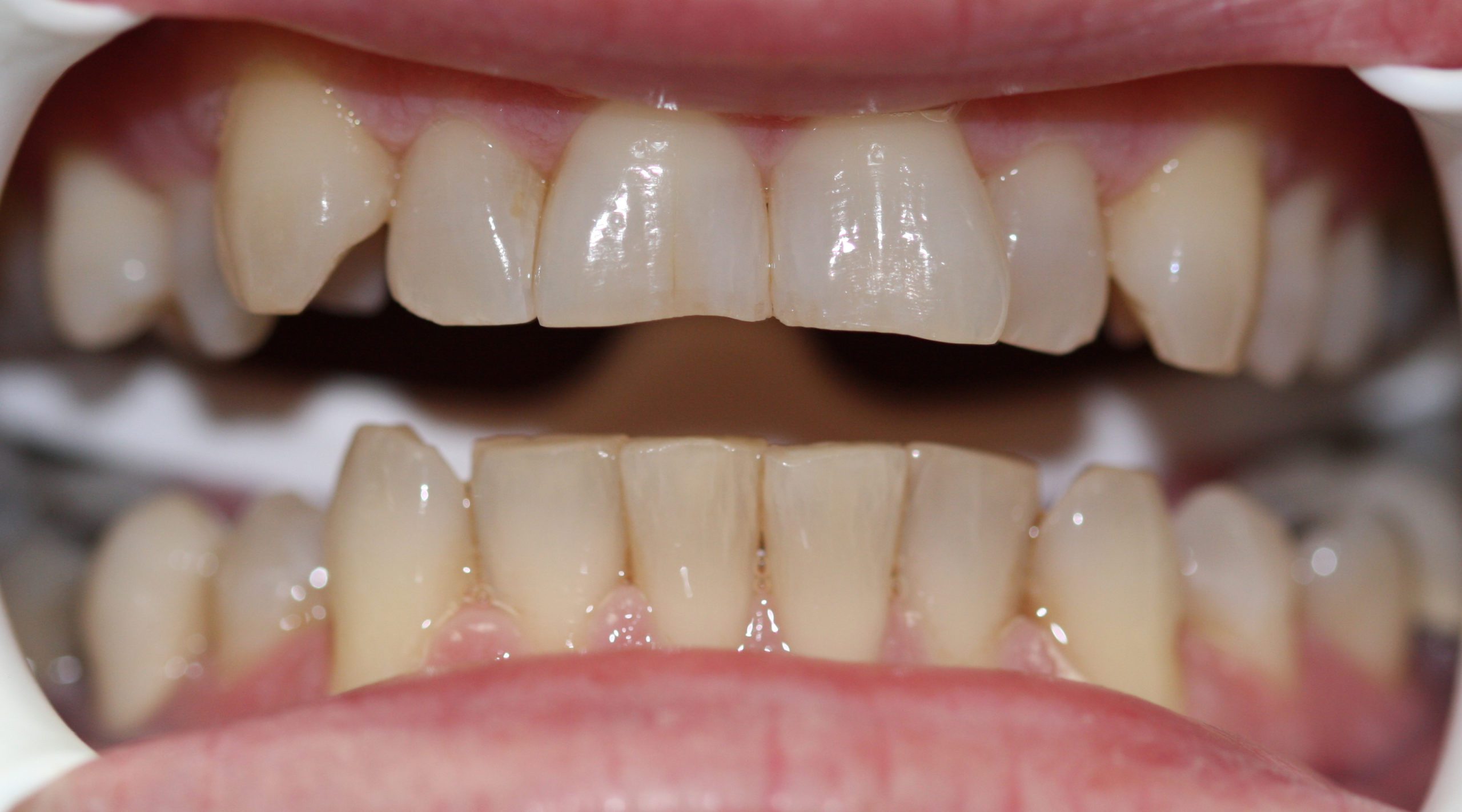
Before And After

You are here:
  1. Home
  2. New Patients
  3. Before And After

Call Us Today!
(731) 925-5600

New Patients
  • Before And After
  • Dental FAQs
  • Financial Information
  • Patient Forms
  • Your First Visit
About Our Practice
  • Meet Dr. Cromwell
  • Meet The Team
  • Office Tour
Quick Links
  • Meet Dr. Cromwell
  • Meet The Team
  • Office Tour
  • Request an Appointment
New Patients
  • Before And After
  • Dental FAQs
  • Financial Information
  • Patient Forms
Contact Us

(731) 925-5600
115 Pickwick Street
Savannah, Tennessee 38372

Hours of Operation

Monday 8:00am-5:00pm
Tuesday 8:00am-5:00pm
Wednesday 8:00am-5:00pm
Thursday 8:00am-5:00pm
Friday 8:00am-1:00pm

Joe M. Cromwell, DDS
Copyright Joe M. Cromwell, DDS | Dental Websites by My Social Practice | HIPAA Notice of Privacy Practice | Accessibility Notice
Go to Top